Produits pour hôpitaux et cliniques

TM-PACS

Permet de compresser, de sécuriser, de stocker et de visualiser des images radiographiques à l'aide d'outils d'affichage et de visualisation de pointe (zoom, loupe, annotations, mesure de distances, suivi des mesures, etc.). L'utilisateur peut visualiser simultanément des images coronarographiques, PET et de médecine nucléaire, ainsi que des images d'imagerie plus classiques (IRM, scanner, échographie, etc.). L'utilisation d'étiquettes associées aux examens vous permet de créer des groupes d'examens et d'y accéder en un seul clic. Un système de recherche personnalisé vous permet d'accéder très rapidement au dossier du patient ou à l'examen souhaité. L'affichage est optimisé pour permettre un affichage multi-écrans, ainsi que l'intégration des logiciels RIS et PACS installés sur les mêmes postes de diagnostic.

TM-MACS

Le système MACS (Multimedia Archiving and Communication System) a pour objectif de soutenir la tendance à la numérisation des activités et des services cliniques. Cette solution multimédia s'étend à tous les autres services cliniques (ophtalmologie, dermatologie, cardiologie, bloc opératoire, service des urgences, anatomie pathologique, etc.). Telemis prend en charge tous les formats d'images, qu'ils soient au format DICOM ou non. Les cliniciens ont accès aux images et aux vidéos contenues dans les dossiers des patients, qu’ils peuvent consulter à des fins diagnostiques. Des outils d’analyse et d’affichage (zoom, loupe, annotations, mesure de distance, etc.) sont disponibles afin d’améliorer le diagnostic. L’utilisation d’étiquettes permet de créer des groupes d’examens et d’y accéder en un seul clic. Un système de recherche personnalisé permet de trouver très rapidement le dossier patient ou l’examen souhaité.

TM-Mammo

La solution TM-Mammo a été spécialement conçue pour répondre aux besoins en matière de stockage, de diffusion et de diagnostic de l'ensemble des images mammographiques numériques produites dans les services de sénologie. La visionneuse TM-Mammo permet de comparer facilement ces images avec l'historique multi-images de la patiente (toutes modalités confondues) et d'afficher des séquences d'affichage personnalisées. La tomosynthèse fait partie intégrante des rapports d'affichage.

TM-Capture

Grâce à l'option TM-Capture, vous pouvez prendre des photos avec un simple smartphone et les envoyer au MACS. Ces images peuvent couvrir un large éventail de sujets : plaies, escarres, chirurgie, bloc opératoire, urgences, dermatologie, macroscopie, etc. En particulier, TM-Capture, très ergonomique, vous permet de demander un diagnostic à distance dans le cadre d'une hospitalisation à domicile. Il permet aux médecins de se préparer à prendre en charge le patient à partir des photos prises dans l'ambulance. Cette solution peut également s'avérer utile dans le cadre de la responsabilité civile d'un chirurgien ou d'un urgentiste, en fournissant des preuves visuelles numériques.

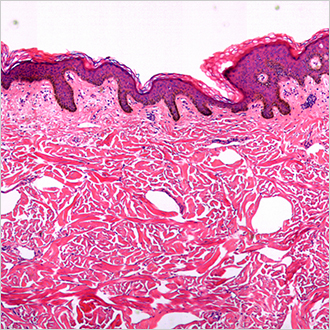
TM-Microscopy

Cette solution permet d'optimiser la diffusion et l'accès aux images d'anatomopathologie en récupérant, stockant et diffusant ces images via la visionneuse TM-Microscopy. Elle garantit des diagnostics de haute qualité grâce à une meilleure pertinence du diagnostic des échantillons et à un meilleur échange entre les pathologistes. En savoir plus ?

TM-Publisher Web

Les informations doivent être accessibles partout et immédiatement, où que vous soyez. Il en va de même pour les résultats d'imagerie. L'examen du patient est terminé et la personne de contact doit obtenir les résultats rapidement, que ce soit à l'hôpital ou à l'extérieur. C'est le principe sur lequel repose TM-Publisher Web : permettre l'accès aux images depuis n'importe quel ordinateur connecté à Internet tout en préservant la confidentialité des patients.

TM-Community

TM-Community est une solution basée sur le cloud qui permet aux établissements hospitaliers d'échanger des dossiers médicaux entre eux. Ces échanges portent sur tous les types de documents (PDF, DICOM, JPEG, etc.) et sont sécurisés et traçables. Cette solution permet notamment de solliciter des deuxièmes avis diagnostiques, d'envoyer un dossier à un centre d'expertise ou de transmettre quotidiennement des images à un centre de référence.